

小児歯科
院長 : 高見 哲
私立和光幼稚園嘱託医 ・ 南奥戸小学校学校歯科医
日本学校歯科医会、東京都学校歯科医会会員。葛飾区学校歯科医会常務理事。
葛飾区歯科医師会公衆衛生担当常務理事
(1歳6か月児・3歳児歯科健診、2才児のすくすく歯育て歯科健診。ファミリー歯みがき教室など担当)
歯科医師 : 松本 龍太郎
一般歯科・審美歯科・小児歯科 担当
高見歯科クリニックでは抑制具は使用しておりません。
治療の苦手なお子様は何回か練習して頂くかもしれませんが、少しずつ慣れてもらって治療を行っています。
(待合室にはお子様用のDVDも用意しております。待ち時間にはお気軽に受付までお申し付けください。)
また、小さいお子様連れのお母様が受診される場合には、受付等がなるべくお子様をお預かりするようにしておりますので安心してご来院ください。
永久歯に交換するまで大切な乳歯
永久歯が生えてくると自然と抜けてしまう乳歯。いずれ抜けてしまうからと乳歯のむし歯を放置したままにすると後で大変な問題が起こってきます。
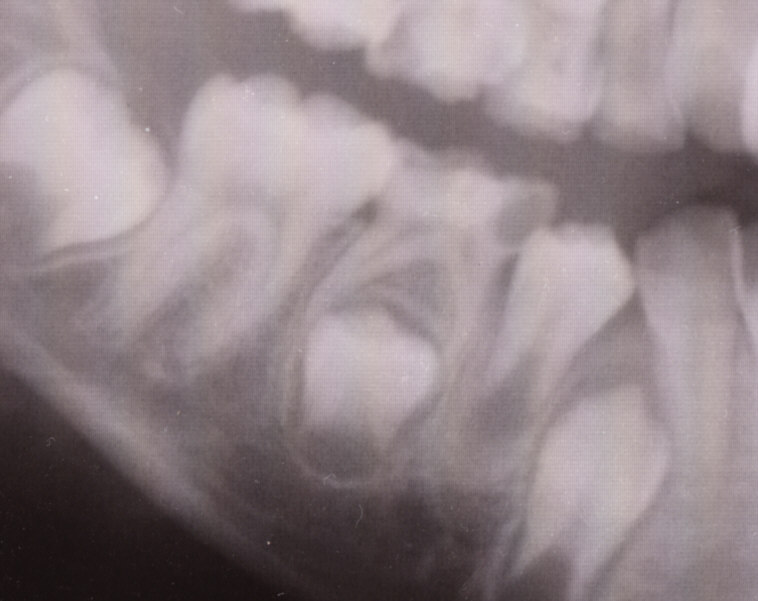
これは乳歯に出来たむし歯のレントゲン写真です。
下の中ほどの歯に黒い穴が開いているのがむし歯です。
その下に永久歯が生えてくる準備を進めているのがお分かりでしょうか。
このむし歯が進んでいけば中の神経も傷み
その下にある永久歯にも影響が出てきます。
細菌が永久歯まで届いてしまえば永久歯の形成が阻害されますし
歯がむし歯で穴が開いたままだと、隣の歯が移動して歯並びが崩れてきます。
乳歯だといって油断せず早めに治療しましょう。
お子様の歯の生え方 ( 時期、順番など )
ここでは子供の歯の生え方とその時期の注意事項をまとめてみました。
・ 赤ちゃんの口の中
生まれたばかりの赤ちゃんには、もちろん歯は生えていません。母乳やミルクを飲んで栄養を取り入れます。
・ 生後8ヶ月から1歳の小児の口の中
お子様が生後7ヶ月くらいになると一般に下の前歯から乳歯が生えてきます。その後に上の前歯(乳歯)が生えてきますが
生える順番には個人差があります。1歳くらいになると乳歯の前歯が上下に4本ずつ生えてきていると思います。
歯が生えてきたら歯みがきもしてあげてください。歯ブラシが難しければ、ぬれたガーゼを使って拭いてあげると良いと思います。
この時期から、歯科医院で歯の健診と歯質を強化するためのフッ素塗布をお奨めします。
このころは奥歯はまだ生えていませんので、離乳食は歯ぐきでつぶせるような食べ物を与えてください。

・ 1歳6ヶ月ごろの小児の口の中
1歳4〜6ヶ月くらいになると乳歯の奥歯が生えてきます。食べ物もだんだん いろいろなものが食べられるようになってきます。
奥歯は前歯と比べると溝があったりして複雑な形をしています。汚れも残りやすくむし歯にもなりやすい時期です。
歯みがきを気をつけてしてあげてください。1歳6ヶ月健診もありますので必ず受けるようにしてください。
・ 2歳6ヶ月〜3歳ごろの小児の口の中
2歳から3歳くらいの間に乳歯が上下10本ずつ、合わせて20本生えて乳歯列が完成します。
葛飾区の場合、お母様と一緒に無料で受けられる「2歳児健診」を行っています。
お子様にはフッ素塗布を、お母様に母のクリーニングを合わせて行っていますので是非ご利用ください。
3歳くらいになると普通の歯科治療も受けられるようになってきますが、むし歯は予防が一番大切です。
定期健診と何かあれば早めの治療を心がけてください。
・ 7〜8歳ごろの小児の口の中
5歳くらいから下の前歯がだんだん永久歯に交換してきます。
下の歯は乳歯の裏側から生えてくることが多く、自然に前に出で来るのが普通です。また、上の前歯の真ん中は写真のように
一時的に隙間が開いた感じになりますが、隣の歯が生えてくるのにつれて隙間がふさがってくるのが普通です。
ただ、ただ将来において歯並びなどの問題に影響する場合がありますので、歯科医院での診断と定期的な観察が必要です。
また、不自然な生え方をしてきた永久歯があれば、歯科医院を受診して悪影響がないように処置してもらうようにしてください。
・ 11歳ごろの小児の口の中
12歳くらいで乳歯はほとんど永久歯と交換していきます。写真は上下左右に1本ずつ、4本の乳歯が残った状態です。
奥から2本目の歯が乳歯なのですが結構大きな歯なので永久歯とお間違えになる方もいらっしゃいます。
この写真の一番奥の歯は6歳臼歯になります。
・ 13歳ごろの小児の口の中
乳歯がすべて抜けて永久歯に交換しました。6歳臼歯の奥に12歳臼歯が生えています。
上下それぞれに14本、合わせて28本の永久歯が生えています。
( 歯は歯ぐきから生えていますが歯の根っこの先はまだ未完成ですので、私たちはこの時期の歯の神経はなるべく残したいと考えています )
・ 19歳ごろの小児の口の中
下の12歳臼歯の奥から「親知らず」が生えてきています。
「親知らず」は退化しつつある歯ですので、もともと生えてこない人もいます。
スペースのないところに生えてきますので歯ぐきが腫れやすかったりして抜歯したほうが良い場合が多いのがこの歯です。

いかがでしたか? お役に立ちましたでしょうか。記載した年齢はあくまでも目安です。1年くらいの個人差は普通にありますので、年齢については過度のご心配をなさらぬ様よろしくお願いいたします。
高見歯科クリニックでは、お子様の歯の定期健診をお奨めしています。
その際にフッ素塗布も合わせて行えば予防効果も高まりますし、むし歯などが出来た場合 早めに見つけることが出来ます。
その方が、処置が簡単に終わることや歯科医院という環境に通いなれているため、今後の歯科治療に対してもお子様が受け入れやすく処置もスムーズに行うことが出来ます。
小児の場合、歯が柔らかいため一度むし歯になったら進行が早いため、間隔的には4ヶ月くらい毎の健診が良いかと思います。
ご質問等がございましたら、ご遠慮なくお問い合わせください。(メールでのご質問も歓迎いたします)
( 尚、今回の写真は「社団法人日本歯科医師会」の資料より引用させて頂きました。 )
その他の診療科目
高見歯科クリニックの診療科目は一般歯科、小児歯科、矯正歯科、他に審美歯科、インプラント治療、レーザー治療などの歯科治療を行っていますが、それぞれの内容についてよりご理解いただくためのページです。
- ・一般歯科 ・・・むし歯、歯周病、入れ歯など一般的な歯の痛みを治したり、物を噛める様にする治療です
- ・小児歯科 ・・・まだ、治療が苦手なお子様の治療です。乳歯期の歯の成長や歯並びの管理も行います。
- ・矯正歯科 ・・・歯並びを整え、顔立ちを綺麗にしたり、噛み合わせを整える治療です。
- ・審美歯科・・・綺麗な歯を入れて、口元を美しくすることにより人からの印象がかなり違ってきます。
- ・インプラント・・・歯がなくなったところに人工歯根を埋め込むことにより、入れ歯を入れずに物を噛むことができます
- ・ホワイトニング ・・・歯の色が綺麗になると、人からの印象は大きくアップ。どんなメイクより効果的だと思います。