ホワイトニング治療とは
高見歯科クリニックでは、歯の色を白くきれいにする「ホワイトニング」治療を行っています。
ホワイトニング治療には診療室で行う「オフィスホワイトニング」と、お渡しした薬品をご自宅で使用していただく「ホームホワイトニング」という2つの方法があります。
「オフィスホワイトニング」は一時間ほどかけて、その場でホワイトニングする方法で、高濃度の薬剤を歯に塗り、そこにライトを当ててホワイトニング効果を得る方法です。(若干ホームホワイトニングよりも後戻りがあるように感じます。)
「ホームホワイトニング」は、ご自宅で低濃度の薬剤をマウスピースの中に填入し、それを装着することにより2~3週間かけてホワイトニング効果を得るものです。
当院では「オフィスホワイトニング」と「ホームホワイトニング」を併用する方法が効果的にも費用的にも良いと思いますのでそちらをお勧めしております。
■ホワイトニングの具体的な治療方法は、こちら をご覧ください。
ホワイトニング治療の症例紹介
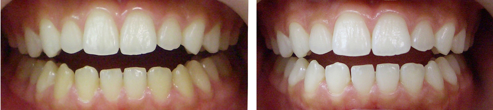
[ 症例 1]
左は上だけホワイトニングを始めて5日後、右は上下ホワイトニングを終了した常態。
左の写真の下の歯の色が元の色です。ご参考にして下さい。 ( ホームホワイトニング法 )

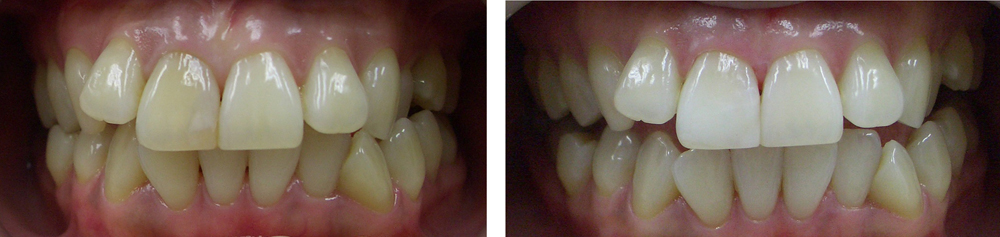
[ 症例 2]
20代の女性です。左はホワイトニング前、右はホワイトニング後ですので比べてみてください。
( オフィスホワイトニング法、ホームホワイトニング法併用 )

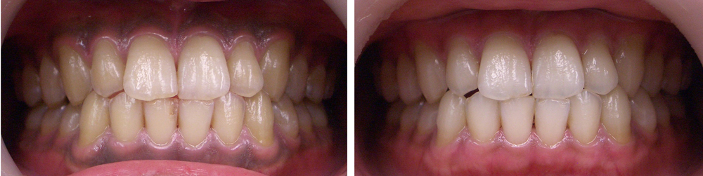
[ 症例 3]
こちらは20代の男性です。左が術前、右が術後ですが、上下のホワイトニング治療、歯肉のメラニン色素除去、下の前歯の欠けた所はコンポジットレジンで修復しております。

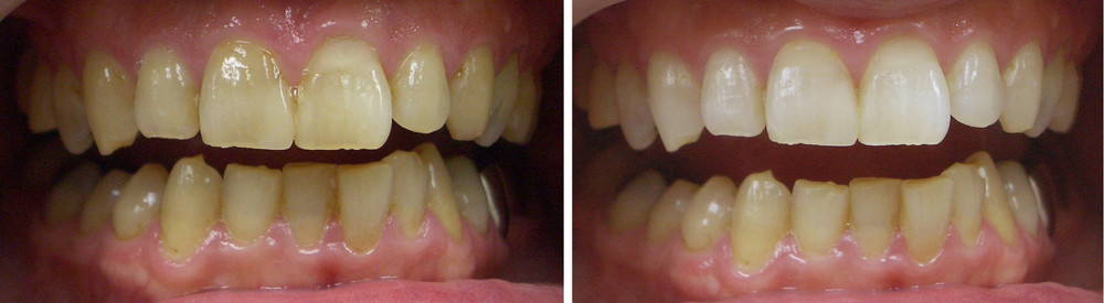
[ 症例 4]
50代の女性です。歯が生えた子供の時から変色があり、ずっと気になっていたそうです。
左上は術前。右上はホワイトニング途中の状態(1週間くらい)です。色が薄くなってきました。
左下はホワイトニング終了時です。綺麗になりました。( 主にホームホワイトニング法 )
歯の変色は消えましたが、前歯の詰め物の変色はそのまま残りますのでコンポジットレジンで詰め直しました。(右下)
[ 症例 6]
左はホワイトニング前、右はホワイトニング後。
前歯が一本、神経がないために変色していました。歯の傷み方が少なかったのでホワイトニングしました。他の歯との色の違いが気にならなくなりました。
( ウォーキングブリーチ法・・神経のない歯に対するホワイトニング法 )
◆ホワイトニングの効果は個人により異なりますので担当医にお問い合わせください。(メールでのご質問も歓迎いたします)自然な感じで白くなりますので、口元が明るくなり、他人からの印象もかなり変わってきます。また、ホワイトニングを始めると歯をよく観察する様になり、お口への関心が自然と高まってくるのもホワイトニング治療の良い点だと思います。保険は適応できませんが歯を削らずに口元を綺麗にすることが出来ます。
歯肉のメラニン色素除去 治療症例
歯だけではなく、歯肉のメラニン色素が気になる方はそれを取り除くことにより口元が明るくなります。
歯肉が明るいピンク色になることで、予想以上にイメージアップ効果が得られます。
[ 症例 1]
左が術前の状態、右が術後です。
上の歯肉のメラニン色素を取りました。 ( 下の歯肉は処置していません。 )
ホワイトニング治療の料金
基本的にホワイトニング治療は、上下の歯を別々に行います。上下それぞれ前歯と小臼歯、合計10本を対象とした料金(消費税抜)です。
- ホワイトニングおすすめコース
- ・ホームホワイトニング上下片方 各15,000円
・初回診療時、簡単なオフィスホワイトニングも行います。 15,000円にはマウスピースとシリンジ2本分の料金を含みます。
この方法が一番きれいになり、低料金ですのでお勧めです。 - オフィスホワイトニングコース
(短期間でホワイトニングをしたい方、マウスピースを入れるのが苦手な方には診療室で行う「オフィスホワイトニング」も行っております。) - ・オフィスホワイトニング上下両方 1回 15,000円
・オフィスだけでホワイトニングするなら上記のコースを3回以上行なうことをお勧めします。
オフィスホワイトニング後にホームホワイトニングを行う場合は、マウスピース上下各 5,000円、シリンジ1本 5,000円になります。
オフィスホワイトニングのみご希望される場合は、「おすすめコース」よりは割高になります。
- 歯肉のメラニン除去 治療費
- ・上下片方 各5,000円
・レーザーを使用する方法と薬剤を使用する方法があります
どちらの方法も費用は同じですが、薬剤を使用する方が時間的にも短時間で処置出来ますのでお勧めです。
ホワイトニング治療の注意点
・ホワイトニングの効果
ホワイトニングの効果には個人差があり、すぐに真っ白になる人もいれば、なかなか白くならない人もいますが、何回もホワイトニングを繰り返していれば必ず白くなります。(歯に何か特別な事情がある場合を除きます)
ホワイトニング効果の持続期間はその人の生活環境(歯磨き・食生活など)にもよりますが、数年たつと効果が低下が見られ歯の色の後戻りも起こります。その際は、薬剤の料金5,000円、マウスピース再生の場合は1つ5,000円でタッチアップ(再ホワイトニング)でまた白くなります。タッチアップの効果は1~3日で得られると思います。
・ホワイトニングの安全性
家で行うホームホワイトニングには、通常10%程度の過酸化尿素というものが用いられます。
その安全性はFDA(Food and Drag Administration)をはじめ、世界中で認められています。
・ホワイトニングの注意事項
ホワイトニングを行うと、3人に1人くらいは歯がしみたり、歯ぐきが痛くなったりする人がいます。
そのような場合には一旦使用を中止し、不快症状が無くなってからまた再開して下さい。
・ホワイトニングが出来ないケース
以下のようなケースでは、ホワイトニングが出来ない場合があります。
・虫歯やひび割れがある歯
・重度の歯周病
・歯の変色が非常に強い場合
・金属による歯の変色
虫歯や歯周病がある場合には、まずそれらに対する治療を行う必要があります。
・インレー(詰め物)やクラウン(差し歯)の変色
インレー(詰め物)やクラウンなどの変色は、ホワイトニング治療で色を変えることは出来ませんので、それらを作り変える必要があります。
・妊婦さんへ
妊婦に対してホワイトニングが良くないというデータはありませんが、大丈夫だというデータもないので妊娠中はホワイトニングを行いません。

